
Cứu sống người đàn ông bị đạn nổ thủng tim khi đốt rác
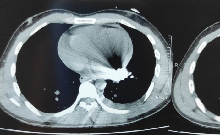
Đang đốt rác, anh T. gục xuống sau tiếng nổ, sau đó bác sĩ lấy ra một đầu đạn từ tim nạn nhân.

Đang đốt rác, anh T. gục xuống sau tiếng nổ, sau đó bác sĩ lấy ra một đầu đạn từ tim nạn nhân.

Bệnh nhân ở Long An bị cướp đột nhập vào nhà và đâm thủng tim, gan khiến máu chảy ồ ạt.

Nam thanh niên 17 tuổi, nhập viện trong tình trạng hôn mê, đồng tử 2 bên giãn, mạch nhanh nhỏ, huyết áp không đo được, ngực trái bị dao đâm.

Trong lúc đang nằm võng, anh Huỳnh Bảo T. (35 tuổi, ngụ TP.HCM) bị cánh cửa kính rơi xuống, mãnh kính vỡ bắn vào ngực trái thấu tim.

2 que sắt đều xuyên qua tim sâu hơn 10cm, cắm cả vào thành bên cột sống, que bên phải còn xuyên qua khoang màng phổi và nhu mô phổi trái, trong quá trình phẫu thuật, các bác sĩ phát hiện trên tim có tới 6 lỗ thủng với kích cỡ 1-1,5cm.

Nhập viện trong tình trạng huyết áp không đo được, sau 4 giờ phẫu thuật, nam bảo vệ được các bác sĩ Bệnh viện Đa khoa Đồng Nai cứu sống

Nghe bạn gọi, bé Sang chạy lên lan can lầu 2 với ra ngoài rồi ngã xuống bị thanh sắt hàng rào đâm trúng ngực xuyên từ sau ra trước.

Các bác sĩ Bệnh viện Đa khoa tỉnh Quảng Ngãi vừa cứu sống một trường hợp bệnh nhân bị đâm thủng cơ tim với vết thủng khoảng 2cm và nhiều vết thương nội tạng khác như gan, phổi, cơ hoành.

Sau khi đứt gánh với chồng, thiếu phụ xuân sắc làm việc tại quán tẩm quất đèn mờ nhộn nhạo lấy tiền nuôi con.