
Cô gái 18 tuổi bị viêm phổi nặng sau một tháng khỏi COVID-19
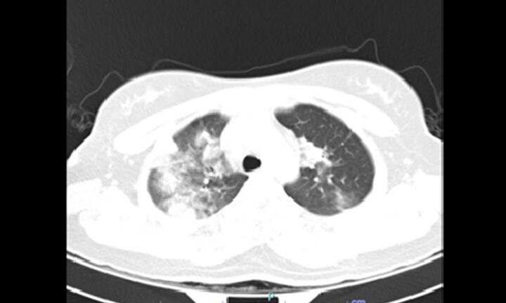
Sau khi khỏi COVID-19 một tháng, nữ bệnh nhân có biểu hiện ho đờm, sốt cao 39 độ C, đau tức ngực 2 bên, khó thở tăng dần trong 3 ngày.

Sau khi khỏi COVID-19 một tháng, nữ bệnh nhân có biểu hiện ho đờm, sốt cao 39 độ C, đau tức ngực 2 bên, khó thở tăng dần trong 3 ngày.